مرة جديدة، استطاع لبنان أن يسجل مكانا له في فضاء الأبحاث العلمية والتطور الطبي في العالم، ليثبت جدارة في إدخال مفهوم متطور عالميا في تقنيات محاربة مرض السرطان. ولا مبالغة بالقول انّ ما قام به فريق من الأطباء والباحثين اللبنانيين سيشكل ثورة في علاج مرضى السرطان من خلال استخدام تقنيات جديدة تبشّر بأمل واعد على مستوى مكافحة المرض من خلال العلاج بالتبريد من دون التدخل الجراحي. لتتوج جهود هذا الفريق اللبناني مؤخرا بتبني المجلة الدولية العلمية " MDPI- Current Oncology" والتي تُعتبر قاعدة بيانات بحثية علمية على مستوى العالم، مشروع دراسة عن العلاج بالتبريد الذي أدخل مفهومه الى لبنان الطبيبان وسيم وزين مدلج.
فبعدما اكتشف العالم أجمع أهمية البحث العلمي منذ مرحلة كورونا، كتطبيق نظري لأهمية البحث في عالم يتخبط فيه بالنظريات غير الدقيقة، كان للبنان نصيب من هذه الأبحاث التي تُعتبر المنطلق الأول للعبور نحو العلاج لمختلف أنواع الامراض المستعصية وغير المستعصية، وخصوصا الأمراض السرطانية التي تُعتبر من المسببات الأولى للوفيات في العالم وفي لبنان أيضا الذي يعاني من بيئة ملوثة معززة لانتشار السرطان مقارنة بغيره من الدول، كما تفيد الأرقام. وفي أخر أرقام لمنظمة الصحة العالمية أفادت بأنّ لبنان يحتل المرتبة الأولى بين دول غرب آسيا في عدد الإصابات بالسرطان، قياسا بعدد السكان. إذ هناك 242 إصابة بين كل 600 ألف لبناني كل عام.
مجلة علمية
واليوم، تبنت المجلة الدولية العلمية " MDPI- Current Oncology" وهي جزء من المكتبة الوطنية للطب في الولايات المتحدة، وتشغل قاعدة البيانات المكتبة الطبية الوطنية في الولايات المتحدة الأمريكية وأوروبا، دراسة الدكتور اللبناني زين مدلج حول علاج السرطان بالتبريد، وذلك بعدما أثبتت الدراسة نتائج ممتازة ومبهرة في علاج السرطان، كما يصف النشر. هذه الدراسة عمل عليها مدلج إضافة الى فريق من الباحثين الايطاليين واللبنانيين، وبينهم الدكتور المتخصص بالطب الحيوي وسيم مدلج الذي كان أول من أدخل هذه التقنية في العام 2010 الى لبنان، وتم تبينها في كل من مستشفى "اوتيل ديو" ومستشفى "رياق" في البقاع.
يتحدث الدكتور وسيم مدلج ل "لبنان 24" عن أهمية علاج السرطان بالتبريد وفوائده ليس فقط في القضاء على الأورام السرطانية بل في تحفيز المناعة أيضا بعد مرحلة العلاج، فما هو علاج التبريد؟
علاج السرطان بالتبريد
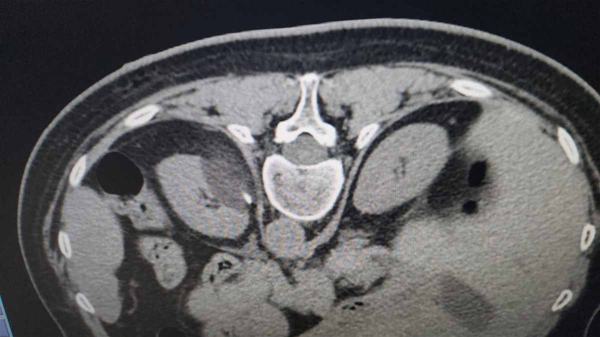
هو عملية استئصال الورم بدون الحاجة إلى "الفتح الجراحي" وخصوصا في حالات المرضى الذين لا يمكن إجراء جراحة لهم. ويُعالج بالتبريد كل حالات السرطان في الأعضاء، بواسطة مسابير لتجميد الأورام والقضاء عليها، وحتما بحسب كل حالة وتشخصيها، الا انّ العلاج بالتبريد يمكن استخدامه مع كافة الأعمار. والجدير ذكره انّ هذا العلاج لا يطبق على الأعضاء الجوفاء في جسم الإنسان كالمعدة والمبولة، بل على الاعضاء غير الجوفاء كالكبد والبروستات والعظم والرئة، وأعضاء أخرى.
فكيف يتم التشخيص والتدخل الطبي؟ يقوم الأطباء بالتشخيص قبل العملية وبعدها بواسطة "الصورة النووية"، ثم تتم المقارنة بين كل المراحل من الناحية التقنية، للوصول الى مرحلة إدخال مسابير التبريد الى مكان الورم، وذلك من خلال ضخ غاز قوي جدا يُسمى غاز "الارغون" بضغط كبير وعبر أجهزة متطورة، وذلك تحت مراقبة مباشرة، ليتم تدمير الأورام عن طريق تجميد نسيج الورم، بدرجة حرارة منخفضة للغاية (تصل إلى 160 تحت الصفر)، باستخدام تقنية التصوير.
يتحدث مدلج عن العلاج مشيرا الى انّ الجراحة بالتبريد هي من أهم التقنيات المستخدمة اليوم في العالم لاستئصال الأورام الخبيثة والحميدة في الجسم. ويقول: "الأهم انّ العملية تتم من دون فتح جراحي، وانما عبر أجهزة متخصصة إضافة الى مسابير التبريد التي تدخل مباشرة الى المنطقة المصابة وتقوم بإنشاء كرة جليدية، هذه الكرة تتدنى فيها الحرارة بالناقص 40 درجة وكفيلة بكي كل الخلايا المتورمة التي يجب اصابتها".
حرب مع الجراحين
ويتابع مدلج: "هناك تقنيات أخرى متبعة تشبه العلاج بالتبريد ومنها علاج السرطان بالإشعاعات والحرارة العالية جدا، ولكن يبقى انّ استخدام هذه التقنيات محدود في علاج الأورام، وقد لا تصل هذه الطرق الى بعض الأورام القريبة مثلا من الشرايين لانّ الشريان على الحرارة المرتفعة يكون معرضا للانفجار. امّا العلاج بالتبريد فأثبت نجاحا وأمانا باستخدامه مقارنة ببقية التقنيات".
فهل يلغي العلاج بالتبريد العلاجات الأخرى للسرطان وخصوصا العلاج الكيمائي، يجيب مدلج، "حتما لا، يمكن القول انّ بعض الحالات قد لا تستفيد من العلاج بالتبريد، لذلك نقول انّه وحسب كل حالة يمكن اعتبار التبريد متمما للعلاج الكيمائي، فالكيميائي هنا يأتي ليحجّم الورم ولكنه لا يقضي أحيانا على الكتلة السرطانية، وهنا يأتي دور التبريد الذي يشكل السبيل الوحيد للقضاء على الورم من خلال الدخول الى الكتلة وتدميرها. لذلك أكرر انّنا لا ندخل في حرب مع الجراحين اليوم، ولكن نريد التأكيد على انّ العلاج بالتبريد هو أحد اهم العلاجات والأسلحة الفعالة الإضافية في عالم القضاء على الخبيث".
لبنان والعالم
والجدير ذكره انّ العلاج بالتبريد متبع في كل الدول الأجنبية تقريبا، وفي لبنان بدأت كل من مستشفى "اوتيل ديو" و"رياق" باستخدام التقنية منذ العام 2010. وبسبب الفريق اللبناني بدأ تطبيق العلاج في عدد من الدول العربية مثل الأردن والسعودية والامارات، ويسعى الفريق الى الوصول للعراق وسلطنة عمان كوجهتين جديدتين. وبحسب مدلج: "في لبنان هناك قبول كبير وتفاعل، والاهم انّ مرضى من الدول العربية المجاورة يأتون الى لبنان لتطبيق بروتوكول هذا العلاج".
البحث العلمي
أمّا البحث العلمي الذي نُشر في المجلة الدولية فيتضمن النتائج المدروسة والموثوقة لأكثر من حالة لمريض ثبت شفاؤهم بعد اتباع علاج التبريد، بعد متابعة حالتهم على مدار 3 سنوات وتوثيق النتائج. يُضاف الى انّ الدراسة تقوم على أهمية العلاج بالتبريد من خلال تقوية الجهاز المناعي، حيث أثبت العلاج بحسب مدلج فعالية كبيرة في محاربة الخلايا غير الجيدة والمساعدة على كشف الغطاء على الخلايا السرطانية، وتقوية الجهاز المناعي الذي بإمكانه انّ يحارب انتشار السرطان.



